Опубликован снимок перелома стопы Манэла Капе перед UFC 317
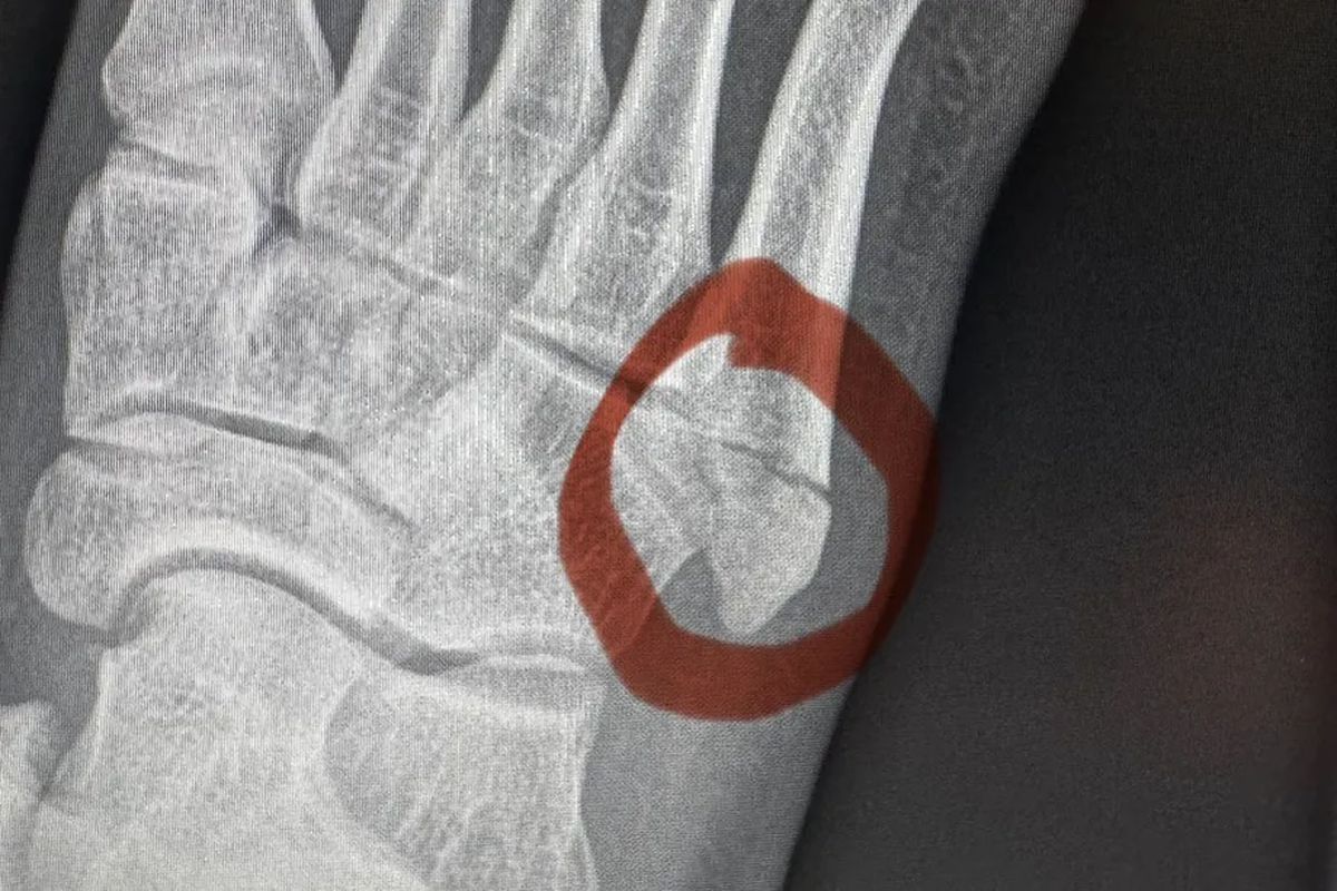
Претендентский бой в наилегчайшем весе между Брэндоном Ройвалом и Манэлом Капе на UFC 317 сорвался — португалец получил перелом стопы во время подготовки. Он подтвердил отмену поединка в соцсетях:
«С сожалением сообщаю, что не смогу выступить на UFC 317. Во время тренировки я сломал стопу, врачи рекомендовали операцию и полное восстановление».
Капе добавил: «Это был важнейший бой в моей карьере, но я верю, что это лишь очередное испытание на моем пути. Благодарю всех за поддержку — я вернусь еще сильнее».
Некоторые фанаты критиковали его за очередной срыв поединка, но португалец напомнил, что это лишь второй случай в его карьере в UFC: «Я часто травмировался на тренировках, но отказывался от боев только если физически не мог выйти. Сейчас именно такой случай».
Напомним, вместо Капе Ройвал теперь встретится с Джошуа Ваном. Поединок состоится в ночь на 29 июня в Лас-Вегасе.


Комментариев ещё нет.